Cirujano Dentista con más de 32 años de experiencia, especializado en implantes dentales y periodoncia. Formado en Chile y Alemania, ha sido docente universitario y miembro de GAO Forum, Korea y Revcon Academy; italy.
El Dr. Marco Mora Reyes es Director Clínico de Mora Pavic Odontología y cofundador de la Fundación ChileLibre.
Su enfoque combina una sólida experiencia quirúrgica, formación internacional y una atención profundamente centrada en el bienestar físico y emocional del paciente, especialmente en tratamientos de alta complejidad.
Los implantes dentales son la solución más segura y duradera para reemplazar dientes perdidos, devolviendo función y estética de forma natural.
Firmeza total: Se integran al hueso, no se mueven y permiten comer con seguridad.
Mejoran tu sonrisa: Recuperan volumen facial y rejuvenecen la apariencia.
Evitan la pérdida ósea: Estimulan el hueso y previenen su reabsorción.
Protegen otros dientes: No requieren desgastar piezas sanas.
Alta duración: Con buenos cuidados, pueden durar décadas.
¿Duelen los implantes dentales?
El procedimiento se realiza con anestesia local y suele ser bien tolerado.
Cada caso es planificado de manera personalizada, combinando experiencia clínica, tecnología digital y enfoque estético para lograr resultados funcionales y naturales.
Una solución definitiva después de años de incomodidad
Tras dos años usando prótesis removibles que no le daban estabilidad ni seguridad al comer, Elvira decidió buscar una solución fija.
Realizamos una rehabilitación completa con 6 implantes superiores y 4 inferiores, colocando prótesis atornilladas en zirconio que devolvieron firmeza, estética y funcionalidad.
Hoy puede comer con normalidad y sonreír con total confianza. Un cambio que transformó su día a día.

Recuperar seguridad después de varios intentos fallidos
Tras consultar en distintos centros en busca de una solución definitiva, Olimpia llegó con movilidad dentaria, periodontitis avanzada y un importante compromiso estético en sus dientes anteriores, producto de tratamientos previos que no dieron resultado.
Realizamos las exodoncias necesarias y colocamos implantes con provisionales inmediatos, complementados con injerto óseo y carga inmediata. Posteriormente se rehabilitó con prótesis atornillada en zirconio.
Hoy recuperó firmeza, armonía en su sonrisa y, sobre todo, la tranquilidad de saber que tiene una solución estable y duradera.

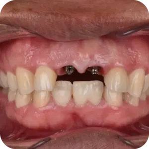
El paciente acudió para rehabilitar las piezas 8 y 9, buscando recuperar funcionalidad y armonía en una zona clave de su sonrisa. Tras la evaluación clínica, se planificó una cirugía guiada y precisa para asegurar estabilidad y proyección estética adecuada.
Se colocaron implantes en ambas piezas con pilares personalizados, logrando una base firme para su futura rehabilitación. El procedimiento fue realizado bajo protocolo quirúrgico controlado, con seguimiento radiográfico posterior.
Hoy cuenta con una solución estable y planificada al detalle, que permitirá devolverle seguridad, funcionalidad y una sonrisa natural.

